胶东在线11月13日讯 “老人家,慢慢走,别着急,我们在旁边陪着您!”近日,在烟台业达医院骨三科病房的走廊里,一位头发花白却精神矍铄的老人,在医护人员的搀扶下缓缓迈步,脸上露出了久违的笑容。很难想象,就在一天前,这位101岁高龄的姜奶奶(化名)刚经历了一台难度极高的人工股骨头置换手术;更令人惊叹的是,术后第一天,她便成功下床活动,打破了“百岁老人骨折后难康复”的固有认知,用鲜活的案例诠释了烟台业达医院骨科在高龄复杂关节镜手术领域的过硬实力
百岁高龄遇骨折生死考验前的艰难抉择
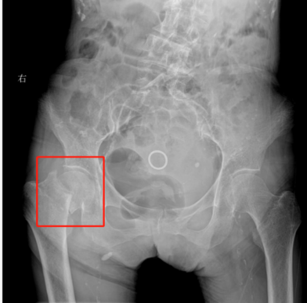
姜奶奶虽然已经101岁高龄,但平日里身体还算硬朗,生活基本能够自理。然而,一场意外的摔倒,让她的右侧股骨颈不幸骨折。家人紧急将她送往烟台业达医院骨科就诊,经检查确诊为右侧股骨颈骨折。

对于普通人而言,股骨颈骨折或许通过手术治疗便能逐步康复,但对于101岁的老人来说,这无疑是一场 “生死考验”。高龄患者身体机能衰退,而且常伴有高血压、冠心病、糖尿病等多种基础疾病,手术耐受度极低,术中术后发生心脑血管意外、感染、血栓等并发症的风险极高,甚至可能直接危及生命。因此,“是否手术” 成为摆在医疗团队和家属面前的一道难题:保守治疗需长期卧床,极易引发肺部感染、压疮、下肢深静脉血栓等严重并发症,死亡率高达 50%;手术治疗虽能让患者早期下床活动,降低卧床并发症风险,但手术难度和风险却超乎想象。
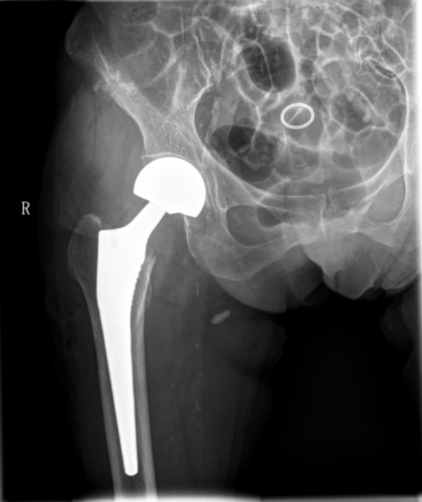
面对这一困境,烟台业达医院骨三科副主任张春刚立即组织多学科会诊,邀请麻醉科、心内科、呼吸内科、营养科等相关科室专家,对老人的身体状况进行全面评估。经过反复讨论和严谨论证,大家认为:虽然手术风险巨大,但只要术前做好充分准备、术中精准操作、术后精心护理,就能为老人争取到康复的机会,让她摆脱长期卧床的痛苦。最终,在与家属充分沟通并获得理解与信任后,医疗团队决定为姜奶奶实施 “右侧人工股骨头置换术”。

精准施策破难题 多学科协作护航生命手术
为确保手术安全进行,医疗团队为姜奶奶制定了“个性化”的诊疗方案,从术前准备到术中操作,再到术后康复,每一个环节都精心打磨。
术前,各学科专家各司其职:心内科专家对老人的心脏功能进行全面评估,调整降压、护心药物,优化心脏状态;呼吸内科专家指导老人进行呼吸功能训练,预防术后肺部感染;麻醉科专家制定了精准的麻醉方案,既要保证手术顺利进行,又要最大限度减少麻醉对老人身体的影响;骨科团队则反复研究老人的影像学资料,精准测量所需假体尺寸、角度,制定详细的手术计划,力求手术操作“零误差”。
手术当天,在麻醉科团队的密切监测下,手术正式开始。骨三科副主任张春刚带领团队凭借丰富的临床经验和精湛的手术技艺,在狭小的手术视野内精准操作:消毒、铺巾、切开、暴露骨折部位、清除坏死组织、植入人工股骨头假体、复位、缝合……整个手术过程有条不紊,历时仅1小时便顺利完成。术中,老人生命体征平稳,出血量极少,各项指标均在正常范围内。

术后一天即下床 快速康复见证医疗实力
手术的成功只是第一步,术后康复同样关键。为帮助姜奶奶快速恢复,烟台业达医院骨科采用快速康复外科(ERAS)理念,术后立即为她制定了个性化的康复训练计划。
术后6小时,医护人员便指导老人进行踝关节屈伸、股四头肌收缩等床上功能锻炼,促进下肢血液循环,预防血栓形成;术后12小时,在医护人员的协助下,老人尝试坐起;术后第一天,当医护人员搀扶着老人站起来,并迈出第一步时,老人激动得热泪盈眶:“我还能走路,太谢谢你们了!”
如今,姜奶奶恢复良好,不仅能自主下床活动,精神状态也越来越好。家属对治疗效果赞不绝口:“一开始我们还担心老人年纪太大,手术风险太高,没想到医院这么厉害,术后一天就能下床,真的太感谢医护人员了!”


2020年全国“放鱼日”同步增殖放流活动在烟
山东滑雪高手汇聚“雪窝”烟台 赛场飞驰比
2000余名民间艺人齐聚
以新姿态奔赴新征程
