胶东在线4月15日讯 近日,烟台山医院骨病与骨肿瘤科副主任医师王克及其团队为一名年仅6岁的骨肉瘤患儿小鱼(化名)实施新辅助化疗联合肿瘤假体置换手术,在完整切除肿瘤的同时保全了患肢功能。目前患儿恢复良好,已可下地负重行走,后续将进一步接受康复训练及辅助化疗。该病例为儿童恶性骨肿瘤的保肢治疗积累了宝贵经验,也给遭遇“儿童癌王”的家庭带去了信心与希望。
从误判“生长痛”到精准确诊
骨肉瘤被称为“儿童癌王”,好发于10至20岁快速生长期的青少年,具有进展极快、易早期血行转移的特点。在有效化疗手段出现之前,多数患儿确诊后生存期不足两年。
今年初,活泼好动的小鱼出现大腿酸痛肿胀,起初家长误以为是“生长痛”或运动损伤。然而一个月后,腿部肿胀加剧,当地医院影像学检查提示股骨下段恶性肿瘤,穿刺活检确诊为骨肉瘤。因患儿年龄小、化疗与手术风险高,家人辗转多家医疗机构后,最终来到烟台山医院骨病与骨肿瘤科寻求治疗。

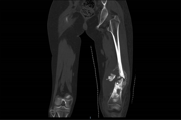
这是小鱼的术前CT影像
“感觉天都要塌了。”小鱼的母亲回忆确诊时刻仍难掩后怕。面对每百万人年发病仅3例的罕见病,这个家庭一度陷入绝望。
专家提醒,骨肉瘤早期症状与生长痛存在显著差异:生长痛多为间歇性、位置不固定、可自行缓解;而骨肉瘤常表现为膝关节周围反复疼痛,夜间加重,局部可触及肿块,皮肤温度升高或浅表静脉怒张。孩子一旦出现上述症状,应尽早就医排查。
“在钢丝上跳舞”,为保肢打开关键窗口
针对小鱼的病情——股骨下段肿瘤长达15厘米、宽度达6.5厘米,王克及其团队制定了“新辅助化疗+保肢手术”的个体化方案。经过4个月8次高强度化疗,患儿肿瘤宽度从6.5厘米缩小至3.5厘米,腿围由38厘米降至33厘米,为后续保肢手术创造了关键条件。
儿童化疗被称为“在钢丝上跳舞”,其复杂性与风险远超成人。王克表示,剂量精准把控既关乎近期疗效,更须兼顾患儿未来数十年的生存质量。“剂量过小疗效不理想,剂量过大可能危及生命。同时还要面对家长因心疼孩子而产生的动摇情绪,我们必须花费大量精力解释坚持规范治疗的必要性。”化疗期间,医疗团队在治疗患儿的同时,也承担着安抚、引导家长心理的重任,确保治疗不中断。
3D打印+可延长假体,精准重建护航未来成长
上个月,在充分准备的基础上,王克及其团队为小鱼实施了“肿瘤整块式切除+组配式半限制关节假体置换术”。术中利用3D打印截骨导板精确切除病变股骨组织,并细致分离肿瘤与周围重要血管神经的粘连,成功保留了胫骨骨骺生长板。植入的个体化肿瘤型人工关节假体外侧专门设计有可延长模块,为患儿未来生长发育预留了微创调节的技术空间,避免了因肢体不等长而进行的多次翻修手术。

这是小鱼的术后X线影像
术后仅两周,小鱼便可在支具辅助下尝试负重行走。接下来,他还将完成后续化疗及系统性康复训练,逐步恢复肢体功能。
警惕早期信号,规范治疗可获高治愈率
骨肉瘤虽凶险,但早期发现并接受规范化综合治疗,治愈率可达60%至80%。王克提醒广大家长,若孩子出现以下情况需高度警惕:
1.夜间疼痛加剧且部位固定。骨肿瘤所致疼痛常在夜间更为剧烈,且疼痛位置明确。
2.疼痛进行性加重。疼痛程度随时间推移持续加重,持续时间延长。
3.局部出现质地较硬的包块。病变部位可触及边界不清的硬性肿块。
“在现代医学的综合治疗模式下,越来越多的骨肉瘤患儿能够重获新生。让更多孩子带着自己的双腿去追逐梦想,是我们不断努力的方向。”王克表示,未来将有更多像小鱼一样的孩子,不必再以截肢为代价,青春依然丰富多彩。



2020年全国“放鱼日”同步增殖放流活动在烟
山东滑雪高手汇聚“雪窝”烟台 赛场飞驰比
2000余名民间艺人齐聚
以新姿态奔赴新征程
