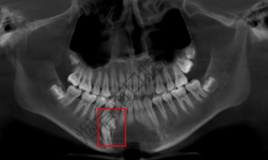
近日,12岁的男孩林林(化名)因为要做牙齿正畸来到烟台市口腔医院就诊。医生在常规检查时发现,他右下颌的一颗乳牙迟迟没退,属于乳牙滞留的情况。为了查清楚原因,医生安排他做了CBCT检查,这一查竟发现了大问题—— 林林的颌骨里藏着一个边界清晰的“团块”,里面密密麻麻裹着十几颗形态各异的“小牙”。

据了解,林林在此前一个月内并未感到任何疼痛或不适,这个“藏”在骨头里的“小麻烦”,全靠检查才被发现。结合检查结果,医生初步判断这是“牙瘤”,随后安排林林住院治疗。
考虑到林林还处于生长发育阶段,医院病房医生团队专门为他制定了微创手术方案。手术通过微创精准切除,既彻底清除病变组织,同时最大程度保护颌骨结构,避免影响今后的牙齿功能和骨骼发育。术后林林恢复得很快,目前正在进行后续的牙齿矫正,让受影响的恒牙慢慢长到正常位置。

很多人看到“瘤”字会心生恐惧,烟台市口腔医院口腔颌面外科病房主任孙超介绍,牙瘤并非癌症,而是一种起源于牙胚组织的良性肿瘤。它由牙齿发育过程中残留的细胞异常增生、钙化形成,形态上既可能是一团混乱的钙化团块,也可能是数十颗形态近似正常但体积微小的牙齿堆积而成。其病因通常认为与牙胚发育异常、遗传因素等相关。
孙超提醒,早期牙瘤通常无明显症状,多在拍摄X 光片时偶然发现。随着肿瘤逐渐增大,可能引发颌骨局部肿胀隐痛、阻碍恒牙萌出导致乳牙滞留、牙齿移位、咬合紊乱,甚至压迫神经引发面部麻木疼痛、继发感染出现牙龈红肿流脓等问题。因此,定期进行口腔检查,尤其在儿童替牙期和正畸前开展影像学筛查,对于早期发现和处理牙瘤至关重要。一旦确诊,手术切除是唯一有效的治疗方法。
烟台市口腔医院口腔颌面外科病房是烟台市医疗卫生重点专科、山东省医药卫生重点学科,科室人才梯队合理,特聘北京大学口腔医院张建国教授担任名誉主任,省立医院口腔颌面外科专家定期来院进行指导、会诊。



2020年全国“放鱼日”同步增殖放流活动在烟
山东滑雪高手汇聚“雪窝”烟台 赛场飞驰比
2000余名民间艺人齐聚
以新姿态奔赴新征程
