老赵今年61岁,前段时间到烟台市口腔医院做口腔检查时拍了张片子。原本以为只是每年“例行公事”地走个过场,可结果出来后,医生却把他留下了,指着屏幕上的两处阴影说:“您右侧的上颌骨和上颌窦各有一个囊肿,两个挨得很近。如果不处理,可能会继续扩大,甚至引发感染。”
老赵一听就慌了:两个囊肿?那岂不是要做两次手术?这么小的部位做两次手术,留下的疤还能看吗?
鉴于老赵的特殊情况,经过口腔颌面外科与耳鼻咽喉科联合诊疗,医生确定了手术方案:鼻内镜下经颌骨肿物腔入路,一次摘除两处囊肿。

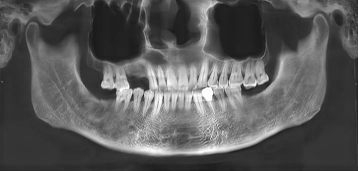
术前检查可见:
13 牙根尖区低密度影,与上颌窦仅一薄骨片;
上颌窦底类圆形高密度影,边界清、骨质无破坏。
手术从口内牙龈做一个小切口,不经过鼻腔,不做下鼻道造口,也不需扩大中鼻道的自然窦口,微创且能完整保留鼻腔和鼻窦的正常结构,更有利于术后恢复。
一周后,老赵的创口就愈合了。三个月后复查的结果更是喜人:两个囊肿被完整切除,没有复发的迹象;上颌窦口完整保留,骨腔修复正常。最关键的是,由于手术是从口腔内进行的,所以面部没有任何疤痕。老赵连连感叹:“这技术真厉害,两个囊肿一次就解决了,脸上还一点痕迹都没有。”

术后 3 个月复查
微创术式,比传统手术好在哪?
传统上颌窦手术(经中鼻道 / 下鼻道入路)可能存在:
1. 破坏上颌窦口正常结构
2. 损伤鼻泪管、鼻腔黏膜
3. 易形成窦口环流,反复感染
4. 影响鼻腔自清洁功能
而经颌骨肿物腔入路的优势很明显:
1. 一次手术,同时解决两处病灶
2. 无鼻腔切口,全程保护鼻腔功能
3. 避免窦口异常引流,降低感染风险
4. 创伤小、出血少、术后疼痛轻
5. 恢复快,不影响正常生活
烟台市口腔医院口腔颌面外科专家提醒:口腔颌面部与鼻窦位置紧邻,病变常常相互影响,定期进行口腔检查,早发现、早处理,才能达到理想的治疗效果。
地址:莱山区逛荡河东路1866号7楼
科室电话:0535-6089371、6087366



2020年全国“放鱼日”同步增殖放流活动在烟
山东滑雪高手汇聚“雪窝”烟台 赛场飞驰比
2000余名民间艺人齐聚
以新姿态奔赴新征程
